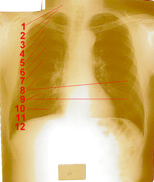
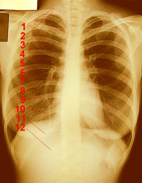
Number of Ribs

ribs
Front View of Ribs
(edited from Corel Presentations 8)
A caution for those of you who dislike thinking about theological issues or who are bothered by the concept that biological science and theology might not disagree: you might not want to bother reading the rest of this Web page.

Over the last few years, I have received several e-mail message asking if the number of ribs is different in men and women. To correctly respond to these inquiries, I have researched this issue by looking up this information in several Anatomy and Physiology textbooks. All agree that, based on medical research (somebody actually dissected cadavers and counted ribs, somebody actually looked at x-rays and counted ribs), men and women have the same number of ribs as each other. For example, one book says:

Twelve pairs of flexible, archlike ribs form the lateral portions of the thoracic cage. They increase in length from the first to the seventh and then decrease again from the eighth to the twelfth.
(Weinreb, E. L. 1984. Anatomy and Physiology. Addison Wesley Publ. Co., Inc. Menlo Park, CA. p. 345.)

Click on each of these photographs for a larger view.
Female Ribs Male Ribs Male Ribs
X-Ray of Female Ribs X-Ray of Male Ribs Male Skeleton
Ribs
Front View of Ribs
(edited from Corel Presentations 8)

So from where did the “urban legend” that women have more ribs come? I don’t know for sure, but here is my guess. As I mentioned on my History of Science Web page, back in the Middle Ages, people came up with all sorts of ideas that were commonly thought to be true and were even put into print, but were never tested, never verified. For example, someone decided that that since giraffes had spots, they must result from a cross-breeding between a leopard and a camel, but no one ever actually did anything to check and see if this was really true or possible! I recall reading that a heavily-debated topic back then was the number of teeth that horses have. Numerous people vehemently insisted on a variety of numbers, and no one would or could agree with each other, yet no one ever actually opened a horse’s mouth and counted its teeth! The notion that women have more ribs than men sounds suspiciously like an idea that could have arisen back then. (But see, in making that statement, I just did the same thing, right?)

Another possible explanation for the origin of this idea stems from the old belief in the inheritance of acquired traits. Before our modern knowledge and understanding of biology, people used to think that if something (such as an injury) happened to someone, that acquired trait would be passed on to that individual’s offspring. Back, just after 1800, Jean Baptiste Lamarck published a paper which included an example of giraffes stretching their necks to reach high leaves, with the alleged consequence that their babies were born with longer necks. However, someone else performed a subsequent experiment in which tails were cut off mice, and then the mice were allowed to breed. Even after 20 generations of mice with chopped-off tails, their babies still had tails. Additionally, the practice of circumcision was cited as evidence to refute the idea of inheritance of acquired traits: despite the many generations of baby boys who have been circumcised, each and every male descendant of theirs that’s born has a foreskin. We know that if a young man gets sent off to war and loses a leg, or if someone has appendicitis and has his/her appendix surgically removed, the children of such people will still have both legs and an appendix. Thus, if that’s the rules that were established, by which biological organisms were meant to function, then the claim that Adam’s offspring had/have a different number of ribs than he did doesn’t make any sense.

So, why would anyone think that? The notion that women have an extra set of ribs is probably based on a misinterpretation of some Bible verses in Genesis. The actual quote is:

But for Adam, no suitable helper was found. So the Lord God caused the man to fall into a deep sleep; and while he was sleeping, he took one of the man’s ribs and closed up the place with flesh. Then the Lord God made a woman from the rib he had taken out of the man, and brought her to the man.
(Genesis 2: 20b - 22, NIV © 1983 by Zondervan Corp.)

Notice what this doesn’t say. It doesn’t say anything about how many ribs Adam had before or after this “surgery,” and especially it says nothing, whatsoever, about how many ribs Eve had! Nowhere does it say that Eve had more ribs than Adam. Who made that assumption without checking? Wouldn’t it be just as logical to guess (also without checking) that if she was created “second” that God might have made her with the same number of ribs as the new, reduced number that Adam now had? Wouldn’t it really be more logical to guess that God might have created her with the same number of ribs as Adam just to avoid confusion? Then again, even if Adam, himself, was missing a rib after his surgery (just like a missing appendix or amputated leg), wouldn’t it make more sense to expect that his children would not have a missing rib (just like an appendix or leg)? Genesis doesn’t say one way or the other, so the only way to know is to cut open cadavers and start counting. Who has done that — the theologians or the biologists? My guess is that, once again, if human misinterpretations are set aside and if it is remembered that theology looks at “why” while science looks at “how,” there is no “conflict” between what the Bible, itself, is saying and what biologists know to be true about our bodies.

Here’s the passage in Hebrew (from בראשית 2, of the The Westminster Leningrad Codex)

֐21 וַיַּפֵּל֩ יְהוָ֨ה אֱלֹהִ֧ים ׀ תַּרְדֵּמָ֛ה עַל־הָאָדָ֖ם וַיִּישָׁ֑ן וַיִּקַּ֗ח אַחַת֙ מִצַּלְעֹתָ֔יו וַיִּסְגֹּ֥ר בָּשָׂ֖ר תַּחְתֶּֽנָּה׃
22 וַיִּבֶן֩ יְהוָ֨ה אֱלֹהִ֧ים ׀ אֶֽת־הַצֵּלָ֛ע אֲשֶׁר־לָקַ֥ח מִן־הָֽאָדָ֖ם לְאִשָּׁ֑ה וַיְבִאֶ֖הָ אֶל־הָֽאָדָֽם׃

most of which, with the help of a Hebrew dictionary and Young’s Concordance, I managed to translate (no, I don’t know Hebrew). I then compared what I was able to figure out with an interlinear Hebrew-English Bible.
21
וַיַּפֵּל֩     ? + [paal = to make?] (Interlinear: “And made to fall”)
יְהוָ֨ה     (substitute Adonai)
אֱלֹהִ֧ים     Elohim
׀     ?
תַּרְדֵּמָ֛ה     tardemah = deep sleep (Interlinear: “a deep sleep”)
עַל־הָאָדָ֖ם     al = on, upon, above + hay = the + adam = man (Interlinear: “on the man”)
וַיִּישָׁ֑ן     ? + yashen = to sleep (Interlinear: “and he slept.”)
וַיִּקַּ֗ח     ? + [laqach = to take? (the “l” is missing] (Interlinear: “And he took”)
אַחַת֙     echad = one (Interlinear: “one”)
מִצַּלְעֹתָ֔יו     meh = from + tsela = rib, side, chamber, board, corner (Interlinear: “from his ribs”)
וַיִּסְגֹּ֥ר     ? + sagan = to close up, to shut up (Interlinear: “and closed up”)
בָּשָׂ֖ר     basar = flesh (Interlinear: “the flesh”)
תַּחְתֶּֽנָּה׃     tachath = instead + ? (nooahh?) (Interlinear: “underneath”)
22
וַיִּבֶן֩     ? + banah(?) = to make, build, build up (Interlinear: “And formed”)
יְהוָ֨ה     (substitute Adonai)
אֱלֹהִ֧ים     Elohim
׀     ?
אֶֽת־הַצֵּלָ֛ע     ay = (definite object) + hay = the + tsela = rib, side, chamber, board, corner (Interlinear: “the rib”)
אֲשֶׁר־לָקַ֥ח     asher = which + laqach = to take (Interlinear: “which + he had taken”)
מִן־הָֽאָדָ֖ם     min = from, out of + hay = the + adam = man (Interlinear: “from the man”)
לְאִשָּׁ֑ה     leh = to, by, for, of, according to + ishshah = woman, wife (Interlinear: “into a woman”)
וַיְבִאֶ֖הָ     ? + [bo? = to bring] (Interlinear: “and brought to her in”)
אֶל־הָֽאָדָֽם׃     el =to, unto, toward + hay = the + adam = man (Interlinear: “the man.”)

For comparison, the King James Version says:

“So the Lord God caused the man to fall into a deep sleep; and while he was sleeping, he took one of the man’s ribs (or took part of the man’s side ) and closed up the place with flesh. Then the Lord God made a woman from the rib (or part ) he had taken out of the man, and he brought her to the man.”

Unlike people in the Middle Ages, we do science these days (most of the time). We don’t just guess at how many teeth horses have or how many ribs people have. We get in there and count them, and then we know: both men and women have twelve pairs of ribs.

Another reader of this Web page sent me e-mail stating that (s)he had read some “religious literature” which made the even-more-preposterous claim that men are lopsided, that they are missing a rib on the left side. (I’m left wondering, upon what basis the writer of that religious literature decided it was specifically the left side?) Would-be theologians who don’t do their “homework,” who don’t have high standards for scholarly research before publishing, and who, as a result, publish such misleading information are acting very irresponsibly and only contribute to the poor reputation that “religion” has among some people in our society. I would encourage publishing companies to ensure that articles and books that are submitted for publication are thoroughly peer-reviewed by recognized experts prior to publication. I would encourage seminaries to require a minimum of non-majors’ biology, anatomy and physiology, and non-majors’ physics courses as part of their degree programs (remember that the clergy you are training will be expected to make hospital visits and counsel people with marital problems in addition to preaching sermons).

If you’re still not convinced, OK, don’t take my word for it. Be skeptical — it’s good for you. However, don’t stop there. Go do your own research and find out for yourself. Go read an anatomy textbook and look at the pictures. Search the Web for more digitized x-rays and photographs. Find a local high school or college that has a skeleton sitting in its biology classroom, and make an appointment to go count ribs. See if that school offers an anatomy and physiology course in which you could enroll. Find a local university, nursing school, or medical school that has cadavers, and find somebody at that school who has some time to spend with you. Arrange to go there, grab a scalpel, and start counting.


References:

Gray, Henry. 1995. Gray’s Anatomy, 15th Ed.   Barnes & Noble Books, New York.

Green, Jay P, Ed. The Interlinear Bible: Hebrew-Greek-English. Hendrickson Publ. Peabody, MA.

Thompson, F. C., ed. 1983. The Thompson Chain-Reference Bible (NIV).   Zondervan Bible Publ., Grand Rapids, MI.

Weinreb, E. L. 1984. Anatomy and Physiology.   Addison Wesley Publ. Co., Inc. Menlo Park, CA. p. 345.


Copyright © 2001 by J. Stein Carter. All rights reserved.
Thanks to Drs. David Fankhauser and Wilhelm Kossenjans for assisting
with obtaining and photographing the x-rays and the skeleton.
This page has been accessed Counter times since 28 Jul 2001.