Nervous System and Senses

2-D says, “See me, down below, drinking sugar water. I have chemoreceptors in my feet, so I can taste if I land on a flower with nice, sweet nectar. Ms. Carter put my feet in the sugar water so I could taste how sweet it was, and then I stuck my tongue in it and started drinking. Yum!”


Background Information:

Neuron with Schwann Cells
Neuron with Schwann Cells around Axon
The nervous system consists of two types of cells. Nerve cells are called neurons. Various support cells are associated with the neurons, most typically, Schwann cells. The parts of a neuron include the dendrite which receives the impulse (from another nerve cell or from a sensory organ), the cell body (numbers of which side-by-side form gray matter) where the nucleus is found, and the axon which carries the impulse away from the cell. Wrapped around the axon are the Schwann cells, and the spaces/junctions between Schwann cells are called nodes of Ranvier. Collectively, the Schwann cells make up the myelin sheath (numbers of which side-by-side form white matter).

Cross-Section of Schwann Cell
Cross-Section of Schwann Cell
Schwann cells wrap around the axon (like the camp food, “pigs in a blanket”). Having an intact myelin sheath and nodes of Ranvier are critical to proper travel of the nerve impulse. Diseases which destroy the myelin sheath (demyelinating disorders) can cause paralysis or other problems. Schwann cells are analogous to the insulation on electrical wires, and just as electrical wires short out if there’s a problem with the insulation, so also, neurons cannot function properly without intact myelin sheaths.

The nervous system has three basic functions:

  1. sensory neurons receive information from the sensory receptors,
  2. interneurons transfer and interpret impulses, and
  3. motor neurons send appropriate impulses/instructions to the muscles and glands.

A nerve impulse is an electrical charge that travels down the cell membrane of a neuron’s dendrite and/or axon through the action of the Na-K pump. Ordinarily, the inside of a neuron’s cell membrane is negatively-charged while the outside is positively-charged. When sodium and potassium ions change places, this reverses the inner and outer charges causing the nerve impulse to travel down the membrane. A nerve impulse is “all-or-none:” it either goes or not, and there’s no halfway. However, a neuron needs a threshold stimulus, the minimum level of stimulus needed, to trigger the Na-K pump to go and the impulse to travel. A neuron cannot immediately fire again; it needs time for the sodium and potassium to return to their places and everything to return to normal. This time is called the refractory period.

Nerve Firing
Click on this image to see the impulse travel down the axon.

A junction between two nerve cells or a nerve and a muscle cell is called a synapse. In a synapse, various chemicals are used to transfer the impulse across the gap to the next cell. These are collectively known as neurotransmitters, and include such chemicals as dopamine (brain levels of which are low in Parkinson’s disease), serotonin, and acetylcholine (levels of which are low in myasthenia gravis).


The Parts of the Nervous System

The nervous system can be subdivided several ways depending on if one is looking at function or location:

In terms of function,
↙                       ↘                                 
Somatic NS
voluntary muscles and reflexes
  vs   Autonomic NS
visceral/smooth and cardiac muscle
↙            ↘
  Sympathetic NS
increases energy expenditure
prepares for action
Parasympathetic NS
decreases energy expenditure
gains stored energy
  these have the opposite effects on the same organs

— OR —

In terms of location,
↙                       ↘                                 
Peripheral NS
sensory and motor neurons
  vs   Central NS (CNS)
interneurons: brain and spine
covered with three membranes, the meninges
inflammation of these is called meningitis
brain has gray matter on outside and white in center
spine has white matter on outside and gray in center

Most body organs/systems are enervated by both sympathetic and parasympathetic nerves, and these have opposite effects on the various organs. For example, the sympathetic NS prepares for action by increasing heart and respiration rates. by telling the liver to release stored glycogen as sugar, and by decreasing digestive processes. Conversely, the parasympathetic NS stores energy by slowing heart and respiration rates, by telling the liver to store up sugar as glycogen, and by increasing digestive processes.


The Parts of the Brain:

Brain Parts
Parts of the Brain
The brain consists of the cerebrum which is the large, anterior portion; the cerebellum which is the wrinkled-looking, posterior part; the pons which is the closest, larger bulge at the top of the spinal cord; and the medulla which is the farther, smaller bulge between the pons and the top of the spinal cord; then the spinal cord starts after the medulla. Also note under the cerebrum, the optic chiasma, the place where the optic nerves cross to the other side of the brain. The cerebellum, medulla, and pons are collectively referred to as the hindbrain. Many of their functions are involved in homeostasis, coordination of movement, and maintenance/control of breathing and heart rate. While a stroke in the cerebrum might result in partial paralysis, a stroke in the hind brain is actually, potentially more dangerous becuase it could knock out coordination of the cerebrum’s activities, or worse yet, automatic control of breathing and/or heart beat. The midbrain is responsible for receiving and integrating of information and sending/routing that information to other appropriate parts of the brain. The forebrain is composed of the cerebrum and related parts, and functions in pattern and image formation, memory, learning, emotion, and motor control. In addition, the right side functions more in artistic and spatial concepts, while the left side controls speech, language, and calculations. Keep in mind that motor skills are controlled by the opposite half of the brain, thus a left-brain stroke would cause paralysis on the right side of the body. Also, a left-brain stroke might cause problems with speech while a right-brain stroke is more likely to cause abnormal/inappropriate emotional responses.


Alzheimer’s, Prions, and Related Disorders

Scientists are increasingly discovering/suspecting that a number of neurological diseases/disorders appear to be caused by something called prions. Prions were only “discovered” in the 1980s. They are molecules of protein that has become denatured/misfolded (has lost its normal, native conformation), and thus, somehow, are “self-replicating” in that they are able to trigger the matching, normal, correctly-folded proteins to become misfolded, and those trigger more proteins to do the same, etc. Prions are “only” protein, so are not alive. The first prion diseases discovered, and thus, the most widely-studied are those that relate to a protein that is nicknamed “PrP” (which is short for “Prion Protein.” The normal form of this protein is called PrPC (where “C” stands for “Common” or “Cellular”), while the infective, prion form is called PrPSc because it was first fond in association with a disease called “Scrapie” that occurs in sheep. PrPC is, as mentioned, a normal protein which serves important functions in our brains/neurons.

PrPSc causes a variety of neurodegenerative (degeneration of the brain), and the “incubation period” appears to be from 5 to 20 years. However, in this case, “incubation” may be a bit of a misnomer, because the PrPSc molecules aren’t just sitting around waiting. Rather, undetected, they’re quietly causing more and more normal PrPC molecules in the victim’s brain to turn into PrPSc, causing increasing amounts of brain damage, until it gets to a point where the loss of function becomes apparent. In sheep and goats, the disease is called “Scrapie,” in cattle, it’s called “Bovine Spongiform Encephalopathy,” also known as “Mad Cow Disease.” PrPSc also causes similar brain diseases in mink, white-tailed deer and relative species, cats, several other species of animals related to antelopes/cattle, and ostriches. PrPSc also causes several forms of “Spongiform Encephalopathy” in humans, including diseases known as Kuru and Creutzfeldt-Jakob Disease (CJD).

PrPSc is communicable. One way it may be spread/acquired is via consumption of dead animals that have PrPSc in their bodies/brains. Kuru was found among certain peoples that are native to the New Guinea highlands. The tradition of these people involved eating the brains of their dead relatives to impart that person’s wisdom to his/her younger relatives, and unfortunately it was discovered that practice transferred PrPSc to those people who ate infected brain tissue, causing them, years later, to also develop and die from Kuru. After researchers figured out what was going on, it was a “delicate situation” to convince these people to abandon their long-standing, traditional way of honoring their dead, but now that they no longer do so, they no longer are plagued with Kuru. There is evidence that PrPSc may also be spread via urine, saliva, and other body fluids from infected animals, and there is some pretty-convincing evidence that it can also be spread in manure of infected animals, which is a big concern since feedlots full of cattle manure typically are located near water reservoirs and manure was/is often used to fertilize crop fields. There is also evidence that PrPSc may be spread via airborne, aerosol particles (as in coughing, breathing, etc.). Preliminary research has shown that prions may be transmitted through the use of hormones from PREgnant MARe urINe given to human females to control their menstrual cycles.

A number of years ago, in Great Britain, huge numbers of cattle were put to death after the discovery of Mad Cow Disease in some of them. The concerns were a) that the disease could spread from cow to cow via manure, body fluids, etc., b) that since the diets of the cattle, who are typically total vegans by nature, were being supplemented by “cow chow” made from slaughter-house left-overs, the prions could be transferred that way, and c) that humans who consumed meat from those cattle could possibly become inoculated with PrPSc. A related, interesting topic of discussion at that time was that of to pet food. Standards for what meat goes into pet food production are less stringent that meat designated for human consumption. Due to that, a couple of further concerns were raised. Could pet cats and dogs be inoculated with PrPSc from eating canned pet food (and could that be transferred to their people)? Considering that numerous pet owners do taste the food they give to their pets (pets don’t need all the salt, garlic, etc., used to flavor their food — it’s there because the companies know people taste the food), and numerous low-income people, perhaps especially the elderly, routinely eat canned pet food because that’s less expensive, more shelf-stable, and available in smaller quantities than purchasing “people-quality” meats, could people be inoculated with prions that way?

PrPSc is very resistant to “normal” sterilization practices. It is resistant to inactivation by heat, formalin, or exposure to UV light or x-rays. Prion-quality sterilization involves things like immersion in sodium hydroxide (NaOH) in an autoclave (under heat and pressure) for 30 to 60 min. Human-to-human transmission via organ transplants and prion-contaminated brain electrodes has been observed. The incidence of CJD among people who have previously had neurosurgery is higher than among the general population.

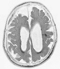
Brain Degeneration
Tau-Related Brain Degeneration
(anterior at top)
It has long been recognized that the amyloid-β plaques found in Alzheimer’s Disease, the α-synuclein found in Parkinson’s, and phosphorylated tau (tau tangles) found in a number of neurological disorders, including Alzheimer’s, Corticobasal Degeneration (CBD), etc., as well as the superoxide dismutase 1 associated with amyotrophic lateral sclerosis (ALS, Lou Gehrig’s Disease) are all misfolded forms of normal brain proteins. Tau, for example, is normally a long, straight-stranded protein that helps microtubules in neurons to do their jobs. When tau becomes phosphorylated, it crumples up into tangled balls consisting of multiple strands of tau, and interferes with normal microtubule structure and function. It has been known that tau tangles are able to leave “their” neuron, travel to and into another neuron, and once there, cause the tau in that neuron to also tangle, to the point that it becomes possible to correlate the path of the spread of tau tangles in the brain with the progression of Alzheimer’s symptoms. For a number of years, in the 2000s, as these proteins were being studied, researchers initially said this behavior was “similar to” the behavior of prions, but I’m seeing increasing numbers of recently-published (as of 2011, 2012, 2013, etc.) articles that just out-and-out call all of these misfolded-proteins prions. Researchers have injected purified tau and/or amyloid-β into the bloodstream of mice, then several months later, found Alzheimer’s-type changes in the mice’s brains, demonstrating that Alzheimer’s is communicable. Thus, they have conjectured that blood transfusions from someone with early-stage, undetected, asymptomatic Alzheimer’s (or other degenerative neurological disease), surgical, especially neurosurgical, equipment that has not been prion-sterilized, and/or transplacental transfer from mother to baby in a pregnant woman may, possibly serve as sources of prion inoculation in an individual. Again, in their normal native conformation, these are all important, useful brain proteins, but when they become denatured/misfolded, they “turn into” infective prions.

So, what can be done to fight something that can only be stopped by things like simultaneously soaking in lye and autoclaving? We can’t do that so someone’s brain! There is some research looking at the possibility of using monoclonal antibodies that would tag tau tangles, etc., for destruction by the person’s immune system.

There is another treatment being tried by many people that will not cure the neurological degeneration, but may help slow it down and may help to keep neurons alive. As a bit of background, it turns out that the insulin made by our pancreas does not cross the blood-brain barrier, but rather, our brains make their own insulin. You may (hopefully) recall that insulin is a hormone that helps/allows cells to take sugar (from the bloodstream) into themselves so they can use it as a source of energy. It turns out that, perhaps related in some yet-to-be-discovered way to the presence/action of the tau tangles, neurons can be or can become insulin-resistant, to the point where many researchers are now labeling Alzheimer’s as Type III diabetes. The person does not have to also have type I or type II diabetes, and may have a perfectly-normal blood-sugar level. What insulin-resistance in neurons means is that the neurons don’t “get the message” and so cannot take sugar inside of themselves. Keep in mind that, unlike Type I or Type II diabetes, it would do no good to treat with supplemental insulin because it will not cross the blood-brain barrier. Also, keep in mind that it’s not a blood-sugar issue, but rather, if the neurons cannot take in sugar to use as “fuel,” they will, essentially, starve to death. It has been observed that, in retrospect, many people who are diagnosed with Alzheimer’s were, for years, “super-sugar-junkies” — their poor, starving neurons were sending out messages that they needed more sugar, “so eat lots more,” but because the neurons were insulin-resistant, none of all of that sugar ever got inside of them, so they just kept asking for more. Dr. Mary Newport, a UC Med. School graduate, has pointed out that, back in “caveman times,” if our bodies and especially our brains could use only sugar (glucose) as a fuel, and given the insecurity, back then, of knowing when the next meal would arrive, we wouldn’t be here today. It turns out that our bodies and brains (especially in tiny infants) can and do use other molecules, especially including medium-chain triglycerides, as fuel. According to information Dr. Newport has gathered and has personally tested, she and many other people have found that feeding medium-chain triglycerides (MCTs) (found in coconut oil, which is around 57 to 60% MCTs and found at most grocery and health-food stores) to their loved ones who have been diagnosed with Alzheimer’s (or other neurological diseases/disorders) appears to “feed” the neurons and keep them alive (these oils do cross the blood-brain barrier and do not require insulin to help them get into cells), thereby slowing the progression of the disease, and in some cases actually improving the person’s condition somewhat (see Dr. Newport’s pictures of her husband’s ability to draw a clock before and after initiating treatment with coconut oil). If this topic is of interest to you, then I’d encourage you to check out her Web site (link above) and/or her book (link on her Web site).

This, by the way, is a great example of how the Web has changed the way medicine is (or should be or will be) practiced. In the past, if a physician said that a patient had “X” disease, and the patient asked, “So, what can I do about it?” and the doctor answered, “Nothing,” the patient would have had to accept that and just dwindle away without a fight. Now, when the doctor says, “Nothing,” people are getting online and doing their own medical research to find out what other people “out there” are trying, what seems to be working, and what doesn’t, and then going back to tell their doctor what they found out. In the case of using coconut oil, up until now, there hasn’t been a lot of “official” research done on that and not a lot of data collected, and thus most doctors either haven’t heard about it, or when told about it by patients, are highly skeptical, or may have heard so many comments, stories, and testimonials to its value from patients that they’re beginning to wonder. Finally, the researchers are catching up: driven by the overwhelmingly-positive results reported by actual users, an official research study on the efficacy of coconut oil/MCTs in treating neurological disorders (Alzheimer’s) was just begun in Florida in 2012.

Coconut oil is a solid below 76° F, and a liquid above that temperature. It can be used in place of butter or other oils in cooking. Rather than putting butter on vegetables, pancakes, or oatmeal, people who are trying to increase their MCT intake will use coconut oil. Coconut oil can be used in place of “salad” oil or butter for grilling fish, frying grilled-cheese sandwiches or pancakes, etc. Several companies make a product that’s like nut butter, only made out of coconut (one company, Nutiva, calls theirs “Coconut Manna” — other companies have different names for it). A jar of that can be warmed slightly until gooey, mixed with a jar of one’s favorite nut butter, a package of unsweetened shredded coconut, and any spices, etc., that are desired (cinnamon, cocoa nibs, etc., etc.), poured into a knife-proof pan (glass or metal) and refrigerated. Once solid, it can be cut up, and a chunk consumed whenever the “nibbles” strike. Also (as per one of the charts in Dr. Newport’s book), goats’ milk, cheese, and butter are higher in MCTs than cows’ milk, cheese, and butter.

A thought to consider: Recall, as mentioned above, that someone may have prion-type molecules causing brain damage years before so many neurons die that it becomes obvious, and it is discovered that they have Alzheimer’s (or whatever) that has been “eating away at” their brain for years. Because of that, Dr. Newport suggests that all of us may wish to consider consuming coconut oil now.

Senses

We say we have five senses. Can you name them? Here’s the list of the five senses.

Sensory adaptation is a decrease in sensitivity during continued stimulation. For example, can you hear the heating/cooling system moving air? Are you aware of any rings you may be wearing?

Mechanoreceptors, are stimulated by physical means such as touch, pressure, motion, or stretching. Many of these are in the skin. Note that pressure-sensitivity also includes sound receptors or ears, our sense of hearing, which is actually a sensitivity to changes in air pressure.

Ear
Structure of Ear
(clipart edited from Corel Presentations 8)
To hear a sound, the outer ear collects ripples or waves of compressed air that we call sound, and passes them to the tympanum. Vibrations of the tympanum are transferred through three tiny bones in the middle ear: the malleus, the incus, and the stapes to the inner ear, which contains a coiled organ called the cochlea where the actual receptors or nerve endings are located. These receptors are fragile enough that exposure to very loud sounds can irreversibly damage them (I have a friend who was a night-club musician for years and who has a lot of hearing loss due to that), and the more loud noises to which a person is exposed, the greater the damage. People who frequently participate in rock music concerts have noticeably reduced hearing ability. The inner ear also has a balance sensor, which is composed of three loops at right angles to each other called the semicircular canals.

Fish with lateral line
Lateral Line on Side of Fish
Fish “hear” via their lateral lines, a line of pressure sensors running along each side of the fish that pick up pressure waves (= sound) in water. When someone pounds on an aquarium, that creates waves of pressure in the water that, to the fish, would be analogous to cupping your hands and pounding on your ears — NEVER POUND ON A FISH TANK! This, by the way, is the same principle used when explosives are detonated in lakes to “stun” (or kill) the fish so they’ll float to the surface and can be more easily collected for whatever purpose the human(s) involved had in mind (and they probably were wearing ear/hearing protection).

Thermoreceptors are temperature sensitive. Most of these are in our skin.

There are several kinds of pain receptors. Some are sensitive to too much heat, others to too much pressure, etc. Sensitivity of these (and other receptors) can be increased or reduced by certain drugs. Painkillers are supposed to decrease the sensitivity of the pain receptors. Our bodies’ natural endorphins function in this manner, and the tendency to rub an injury stimulates the release of endorphins in that location, lessening the pain. The stress of overexertion when doing strenuous exercise also triggers the release of endorphins. Interestingly, endorphins belong to the category of chemicals known as opiates, thus are chemically related to opium, and also may potentially be addicting! It is thought that a number of people who “have to” frequently do strenuous exercise to feel good may actually be addicted to the endorphins their bodies release under those circumstances — they exercise to “get high.” In general, it may not be a good idea to attempt to deaden any/all pain we feel. Pain is a message from our bodies that something is wrong, thus can be “good” at times when it reminds us to not do something we shouldn’t. For example, if a person with a back injury is on pain medication, the tendency is for that person to overexert him/herself because it doesn’t feel bad, and perhaps injure the back further. If (s)he would not have been on painkillers, (s)he would have gotten the message. “Stop, it’s too much!”

Monarch drinking sugar water
2-D Drinking Sugar Water with Her Feet in It
Chemoreceptors include chemical senstivities like smell and taste. Interestingly, many insects taste/smell with their feet and/or antennae. For example, if a butterfly’s (or fly’s) feet are dipped in sugar water, it extends its tongue (if it’s hungry). In humans, the senses of taste and smell are very complex. There are both genetic and learned components to our sense of taste. One “famous” demonstration frequently done in genetics classes is PTC paper. This is a tissue paper impregnated with a chemical called phenylthiocarbamide. About 70% of the people in the U.S. can taste this substance, which has a horrible, bitter taste. About 30% of people who taste this test paper, cannot taste the chemical and it just tastes like “paper”. Preferences for certain tastes can also be acquired: people from other countries are frequently repulsed by the amount of sugar in many foods eaten here in the U.S. Perhaps tied in with that, it appears that tastes change as a person matures. Strong tastes like mustard, onions, and radishes are often repulsive to small children, yet many children who won’t eat cooked vegetables love the taste of raw vegetables fresh out of the garden. The sense of taste is also influenced by the adequacy of one’s diet, and people who have a zinc deficiency tend to have taste buds that are considerably less sensitive (a common complaint is “I can’t taste my food”). Smoking also tends to obliterate the unique tastes of foods, and people who quit are often amazed at how different, how much better their food tastes. Similarly, people who unthinkly add salt to everything are so used to everything tasting like salt that when they have to or choose to reduce their salt consumption, they frequently are amazed at how different all their foods taste.

Tongue
Tongue
(clipart edited from Corel
Presentations 8)
Different areas of the human tongue have sensitivities to different tastes. Each of these areas contains proportionately more of certain chemoreceptors. Typically, the middle-front of the tongue is more sensitive to sweet tastes, the sides to salty tastes, the center-back to sour tastes, and the very back to bitter tastes. One old herbal remedy for sore throat is tea made from licorice root. I have noticed, when I drink this tea, when it comes into contact with most of the taste sensors on my tongue, it just tastes like water, but as I swallow it, it has a fairly strong, sweet taste very far back on my tongue, down in my throat, where nothing else I’ve ever eaten triggers a response. I have never seen any discussion of this in the literature.

Electromagnetic receptors include sensitivities to light, including light we humans cannot see, as well as things like electric and magnetic fields. Many animals can see colors of light we can’t (infrared, ultraviolet). Some animals, like whales, can sense “gravity”, variations in the Earth’s magnetic field, and use that in navigation.

Our eyes need vitamin A as the precursor to our visual pigment. This pigment absorbs light energy and changes it to chemical energy, then transfers an electrical impulse to the appropriate nerve endings. This pigment is destroyed in the process and must be regenerated. When a person spends time in the dark, part of the acclimation process is synthesizing more visual pigment to increase the eyes’ sensitivity. Therefore, if you get up in the middle of the night for a snack, you can probably see better if you don’t turn on more than just a night light to navigate safely. If you turn on a lot of bright lights, much of the visual pigment accumulated in your eyes will be destroyed, and when you turn out the lights to go back to bed, you won’t be able to see in the dark.

Eye
Eye
(clipart edited from Corel Presentations 8)
The parts of the human eye include the cornea covering the front, the pupil which is the opening in the center of the eye, the size of which is controlled by the iris, and the lens, which focuses light onto the retina, which contains the photoreceptors. The white of the eye is the sclera.

Sightedness
Near- and Farsightedness
(clipart edited from Corel Presentations 8)
The eyes of a person who is nearsighted (has myopia) are out of round such that they are too long front-to-back, thus an image is in focus somewhere in the middle of the fluid in the eye. The eyes of a person who is farsighted (has presbyopia) are out of round such that they are too short front-to-back, and the image is in focus somewhere behind the eyeball. Note that the lens flips the image over upside down, and as our brains process the information, the image is flipped back, right-side up. Experiments were done in which people were asked to wear special glasses that made everything look upside down, and after a time, their brains learned to compensate and things, once again, looked right-side up.

Sally, looking to the front
Sally Looking Forward
Sally, looking sideways
Sally Looking Sideways

An animal that is potential prey for another animal has its eyes on the sides of its head and the eyes operate independently, giving the animal nearly 360° vision to better watch for danger. A predator has its eyes on the front of its face, giving it excellent binocular vision for depth perception and judging distance to prey. An interesting combination of these traits can be found in a chameleon (not an anole). Chameleons eat insects, so need binocular vision to capture dinner, but are also potentially dinner for someone else. They have their eyes on the sides of their heads, but the eyes stick out and can swivel around. Chameleons can use their eyes independently to watch for predators, yet when a potential meal hops into sight, can focus both eyes on the insect to judge the distance before flicking out a sticky tongue to catch it. Interestingly, because of the location and mobility of a chameleon’s eyes, it can rotate its eyes backwards, and have binocular vision behind its head! Chickens, also, have their eyes on the sides of their heads, and they work independently to watch for predators, but chickens use their binocular vision to focus on the food they’re about to pick up.

Another light-sensitive organ that we are only beginning to understand is the pineal gland. This organ manufactures melatonin in response to darkness, thus the shorter the day (like in winter) the more melatonin is secreted. In many animals, the pineal gland is located just under the skin somewhere on the head, and is directly stimulated by light. Some lizards even have a third eye! In humans, the pineal gland is inside the skull and it is thought that it receives it stimuli from nerves from the eyes. Some people make too much melatonin in the winter, making them sleepy and/or depressed. This is called seasonal affective disorder (SAD) and is treated by having the person spend a certain number of hours each day in front of bright lights. There is also a drop in melatonin production at puberty, and it is thought that these may be related. Studies have been done on blind girls (with a form of blindness in which no impulses can travel down the optic nerve and reach the brain and pineal gland), which showed that these girls tended to have higher levels of melatonin for a longer time, resulting in a delay in the onset of puberty. While some older people, who don’t make very much melatonin, thus don’t sleep well, might benefit from a melatonin supplement, I’m leery of the recent melatonin craze in this country. When so many people apparently are suffering from SAD, I question the wisdom of purposly ingesting more melatonin.


References:

Berkow, Robert, ed. 1987. The Merck Manual. 15th Ed. Merck, Sharp & Dohme, Rahway, NJ.

Berkow, Robert, ed. 1999. The Merck Manual. 17th Ed. Merck, Sharp & Dohme, Rahway, NJ.

Borror, Donald J. 1960. Dictionary of Root Words and Combining Forms. Mayfield Publ. Co.

Campbell, Neil A., Lawrence G. Mitchell, Jane B. Reece. 1999. Biology, 5th Ed.   Benjamin/Cummings Publ. Co., Inc. Menlo Park, CA. (plus earlier editions)

Campbell, Neil A., Lawrence G. Mitchell, Jane B. Reece. 1999. Biology: Concepts and Connections, 3rd Ed.   Benjamin/Cummings Publ. Co., Inc. Menlo Park, CA. (plus earlier editions)

Marchuk, William N. 1992. A Life Science Lexicon. Wm. C. Brown Publishers, Dubuque, IA.

Newport, Mary T. 2013. Alzheimer’s Disease: What If There Was a Cure?, 2nd Ed. Basic Health Publ, Inc. Laguan Beach, CA.

Prusiner, Stanley B. 2014. Madness and Memory. Yale Univ. Press. New Haven, CT.

plus a number of Web-based references, including:

http://en.wikipedia.org/wiki/prion more info on prions

http://en.wikipedia.org/wiki/Corticobasal_degeneration is about corticobasal degeneration

http://www.ncbi.nlm.nih.gov/sites/entrez?db=pubmed&uid=16817199&cmd=showdetailview is about iron sequestration

http://en.wikipedia.org/wiki/Tauopathy is about tauopathy

http://www.ncbi.nlm.nih.gov/pubmed/10967355 is about tauopathy

http://en.wikipedia.org/wiki/Tau_protein is about tau protein

http://scienceindex.com/stories/1539256/Hyperphosphorylated_paratarg7_a_new_molecularly_defined_risk_factor_for_monoclonal_gammopathy_of_undetermined_significance_of_the_IgM_type_and_Waldenstrom_macroglobulinemia.html another hyperphosphorylated protein may be involved in MGUS

http://scienceindex.com/stories/2062855/Herpes_simplex_virus_type_1_induces_nuclear_accumulation_of_hyperphosphorylated_tau_in_neuronal_cells.html Herpes simplex type 1 may trigger production of phosphorylated tau

http://www.smartplanet.com/blog/savvy-scientist/infectious-proteins-on-the-brain-alzheimers-and-prions/346 tau tangles act like/are prions

http://news.bbc.co.uk/2/hi/health/8084787.stm tau can spread through the brain

http://www.ncbi.nlm.nih.gov/pmc/articles/PMC3015202/ info on tau, amyloid-β and prions

http://www.ncbi.nlm.nih.gov/pubmed/20021333 more on tau, amyloid-β, and prions

http://www.ncbi.nlm.nih.gov/pubmed/22365536 in vivo spreading of tau pathology

http://cen.acs.org/articles/90/i27/Alzheimers-Prion-Connection.html potential for tau prions to be spread via transfusion

http://web.ebscohost.com/abstract?direct=rue&profile=ehost&scope=site&authtype=crawler&jrnl=19326203&AN=55701005&h=i8tNB8eTAwM75C2MksknnTNKb7xVlHQ3RJXiv17dYJCrg3nOvWsja4%2bkVmB7Bk3rDIKwbEeajZDdKIO2ashNnA%3d%3d&crl=c amyloid-β is communicable

http://www.alzforum.org/new/detail.asp?id=2792 anti-tau monoclonal antibodies

http://www.faqs.org/patents/app/20120087861 anti-tau antibodies

http://askgeorgie.com/?p=5231 neurons can use lactate

http://www.jneurosci.org/content/31/13/4768.full.pdf neurons can use lactate

http://www.jneurosci.org/content/30/42/13983.full.pdf neurons can use lactate

http://www.news-medical.net/news/20120502/Grape-derived-compound-may-prevent-neurodegenerative-disorders-involving-tau-neuropathology.aspx is about use of a grape-derived extract that may be beneficial

http://www.jimmunol.org/content/183/9/5917.full.pdf use of cinnamon vs. amyloid-β prions

http://www.google.com/patents/EP2349301A2?cl=en use of cinnamon to treat amyloid-β prions

http://www.life-enhancement.com/magazine/article/2531-the-anti-alzheimers-power-of-whole-turmeric turmeric is anti-inflammatory, and therefore may be of use

StudyWeb

Copyright © 1996 by J. Stein Carter. All rights reserved.
This page has been accessed Counter times since 14 Mar 2001.